Γιατί ο Ντικ Τσένι έκλεισε το WiFi του βηματοδότη του
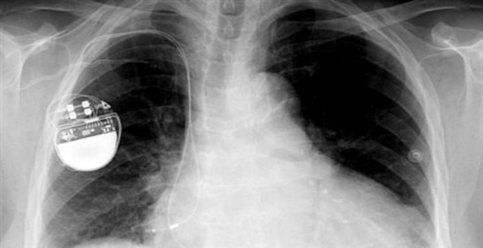
Ο πρώην αντιπρόεδρος των ΗΠΑ Ντικ Τσένι ζήτησε από τους γιατρούς του να απενεργοποιήσουν τη λειτουργία ασύρματης δικτύωσης στον βηματοδότη που επρόκειτο να του εμφυτεύσουν.
Ο Ντικ Τσένι φοβόταν για επιθέσεις χάκερ στην καρδιά του -και δεν είναι ο μόνος που ανησυχεί.
Ο Τσένι, ο οποίος είχε υποστεί αλλεπάλληλα εμφράγματα, υποβλήθηκε στην επέμβαση το 2007. Αποκάλυψε τι είχε συμβεί το 2013 σε συνέντευξή του στο
δίκτυο CBS. «Είχα επίγνωση του κινδύνου που υπήρχε» είχε πει τότε.
Όπως επισημαίνει τώρα ο δικτυακός τόπος του περιοδικού Science, ειδικοί σε θέματα ασφάλειας υπολογιστών έχουν αποδείξει εδώ και καιρό ότι είναι δυνατό να παρέμβει κανείς σε εμφυτεύσιμες συσκευές όπως οι βηματοδότες, οι απινιδωτές και οι αντλίες ινσουλίνης.
Πολλά από τα σύγχρονα μοντέλα μπορούν να ρυθμιστούν αν χρειαστεί μέσω ενός φορητού ελεγκτή που συνδέεται με τη συσκευή μέσω Bluetooth. Υπάρχουν όμως και συσκευές που συνδέονται απευθείας στο Διαδίκτυο μέσω WiFi, και είναι δυνητικά πιο ευπαθείς σε επιθέσεις.
Το λογισμικό αυτών των συσκευών, όπως και κάθε τροποποίηση του λογισμικού, πρέπει να πιστοποιείται από την αμερικανική Υπηρεσία Τροφίμων και Φαρμάκων (FDA), η οποία όμως δεν θέτει προδιαγραφές ηλεκτρονικής ασφάλειας.
Το 2013, η FDA ανακοίνωσε ότι «δεν έχει λάβει γνώση για τραυματισμούς ή θανάτους ασθενών» που οφείλονται σε παραβίαση εμφυτεύσιμων συσκευών».
Επισήμανε όμως ότι «περιμένει από τους κατασκευαστές ιατρικών συσκευών να λάβουν τα απαραίτητα μέτρα».
Πράγματι, οι κατασκευαστές έχουν αρχίσει να προσλαμβάνουν ειδικούς για να βελτιώσουν την ασφάλεια των προϊόντων τους.
Όμως η ιστορία έχει δείξει ότι οι χάκερ βρίσκουν συχνά τρόπο να ξεπερνούν τα εμπόδια.
Το τι θα μπορούσε να συμβεί ήταν το θέμα ενός επεισοδίου της αμερικανικής σειράς Homeland το 2012, στο οποίο ο αντιπρόεδρος των ΗΠΑ πέφτει θύμα χάκερ που επιταχύνουν τους παλμούς της καρδιάς του μέχρι να πάθει ανακοπή.
Επιμέλεια: Βαγγέλης Πρατικάκης
ΠΗΓΗ



Σχόλια
Δημοσίευση σχολίου