Απίστευτο: Μωρό γεννήθηκε «έγκυος»
Δύο μάζες που βρέθηκαν στην κοιλιά του ήταν τα δίδυμα αδελφάκια του που απορροφήθηκαν από το σώμα του
Τη σπάνια περίπτωση ενός μωρού που γεννήθηκε… «έγκυος» κατέγραψαν γιατροί στο Χονγκ Κονγκ. Ανακάλυψαν δύο μάζες στην κοιλιά του, θεωρώντας αρχικά πως πρόκειται για όγκους. Διαπίστωσαν ωστόσο, ότι ήταν δύο μερικώς
σχηματισμένα έμβρυα, τα δίδυμα αδελφάκια του, που δεν κατάφεραν να αναπτυχθούν φυσιολογικά και απορροφήθηκαν από το σώμα του.
Το σπάνιο φαινόμενο «fetus in fetu»
Πρόκειται για το φαινόμενο «fetus in fetu«, που όπως αναφέρεται στην Ιατρική επιθεώρηση του Χονγκ Κονγκ, εμφανίζεται μια φορά στις 500.000 γεννήσεις. Στην ιατρική βιβλιογραφία έχουν αναφερθεί λιγότερες από 200 περιπτώσεις.
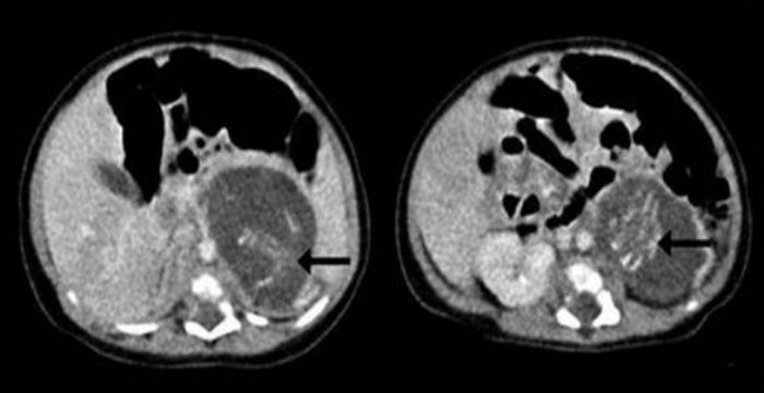
Το κοριτσάκι γεννήθηκε πάνω από 4 κιλά και οι μάζες στην κοιλιά του θεωρήθηκαν ως καρκινικοί όγκοι. Ωστόσο, αξονικές τομογραφίες και άλλες εξειδικευμένες εξετάσεις έδειξαν ότι οι δύο μάζες είχαν σπονδυλική στήλη, ομφάλιο λώρο, άκρα και άλλα χαρακτηριστικά εμβρύου 8 – 10 εβδομάδων.
Τα άτυχα αδελφάκια
Όταν το μωρό έγινε 14 ημερών, οι δύο μάζες αφαιρέθηκαν για περαιτέρω ανάλυση και προκειμένου να αποκλειστεί πλήρως το ενδεχόμενο τερατογένεσης ή άλλων παθολογικών καταστάσεων. Διαπιστώθηκε ότι πράγματι επρόκειτο για τα δίδυμα αδέλφια της μικρής που δεν κατάφεραν να αναπτυχθούν μετά τη 10η εβδομάδα και απορροφήθηκαν από στο σώμα της.
Το κοριτσάκι ανάρρωσε πλήρως και πήρε εξιτήριο από το νοσοκομείο ύστερα από δύο περίπου εβδομάδες.
Όμως οι γιατροί δεν κατάφεραν να εξηγήσουν πλήρως την αιτιολογία της περίπτωσης.
Βήμα science


Σχόλια
Δημοσίευση σχολίου